POP HAZMAT-RETRO presents CLASSIC KID KIBBLE of YESTERYEAR! by JONATHAN KIERAN
TODAY’S HONOREE: SUGAR CRISP (Post Cereals 1949-2013)
RUDIMENTARY ANALYSIS: Sugar Crisp was a cereal of sugar-saturated puffed wheat-pellets introduced by Post Cereals in 1949 to the future enrichment and summer lake-house construction opportunities of dentists across the United States. There is perhaps no more definitive example of classic child-kibble than this popular product, a bowl of which could send any child into fits of spastic glucose-mania formidable enough to cause the most seasoned of mothers to beat their breasts in despair and wail at the heavens for mercy.

When I was a child, Sugar Crisp was always present in our cupboards because word had not yet filtered down to Mother that this cereal was like a Trojan Horse full of “live” ammunition just waiting to transform her children into unstoppable sugar-terrorists. Mother was loathe to provide us with the more colorful, overtly junk-jammed cereals we begged her to buy – cereals like Lucky Charms, with multi-colored “marshmallow” bits that had the suspicious texture and taste of high-fructose Styrofoam. Part of Sugar Crisp’s stealth-like ability to infiltrate our breakfast nook was its visually plain appearance. After all, what could be more mundane than a drab old piece of wheat that’s been aerated or “puffed” or whatever the heck they did to inflate that stuff?
Sometimes, however, Mother would make a “mistake” and purchase the sugarless and taste-bud confounding horror that was Quaker Oats’ Puffed Wheat. That stuff had the texture and gastronomic appeal of petrified bellybutton-lint, at least for kids. Mother may have believed herself to be pretty savvy, sneaking a bit of nutrition into our mornings via some “impostor cereal,” but children are not easily fooled when it comes to junk food. We would screech like frantic little vampires exposed to the agony of sunlight: “Mommy, Mommy! Something’s wrong with this cereal! They forgot to soak it in the syrup-vat down at the Sugar Bear factory! Quick — fetch us a box of Fruit Loops or Apple Jacks before we turn to dust!”

The Sugar Crisp brand had the added advantage of being fronted by a sort of laid-back, crooning cartoon-bear in a big blue varsity sweater. “Sugar Bear” sang his theme song (“Can’t get enough of that Sugar Crisp …”) as if he were Perry Como sidling up to a big microphone during one of his Christmas Specials and no one was ever going to question the intentions of a cartoon bear that had the good sense and decency to imitate Perry Como.
Unfortunately, the proverbial “jig” was up for Sugar Crisp in the 1980s when Oprah or some other pesky gadfly started urging mothers to read the ingredient labels on food packages and thereby ruined the joys of childhood hyperactivity forever. Sugar Crisp tried to sneak under the radar of opprobrium by changing its name to Golden Crisp (gold being, presumably, a far more appealing “flavor” for kids to ingest than sugar) and even testing-out a zesty spinoff called Super Orange Sugar Crisp. This experiment proved disastrous when a beleaguered dentist named Ira Shannon discovered in 1975 that the orange balls of joy in Super Orange Sugar Crisp were in fact composed of 71% pure sugar. As late as 2008, consumer advocates were informing the public that Golden Crisp remained one of the two most sugar-loaded cereal brands on the market. The other Torchbearer of Shame in that duo was Kellogg’s seizure-of-glee-inducing Honey Smacks.
The offensive “Sugar” terminology was soon dropped from all boxes of dangerous puffed wheat permanently in the late 1980s, except in Canada, where the agony engendered by widespread rotting of molars is apparently neutralized by the ever-friendly and sometimes annoyingly buoyant nature of that country’s citizens (Except, of course, in Quebec. No one is buoyant in Quebec except Celine Dion and she’s crazy. I hear Celine came from a Cookie Crisp family. Explains a lot.)
DEFINITIVE QUALITY: Sugar Crisp was super-sweet. It was crunchy. It was puffy. You appreciated the hip personality of the bear mascot. You could eat two bowls and the masticated puffs of wheat would puff-up even more in your stomach, giving you that incomparable “full feeling” as the rest of your system struggled to process and then dispatch overwhelming amounts of sugar to various organs and body parts that would enable you to work either your Mother’s last nerve or the backyard swing-set non-stop until lunch-time.
EXPERIENCE THE MAGIC: You can’t get it at all, anymore, but when you could get it, you couldn’t get enough … just like Sugar Bear. http://www.youtube.com/watch?v=TquvGUkFTLs

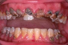
LAMENTABLE LEGACY: Too much Sugar Crisp apparently leads to frightening nicknames in parts of the country none of us ever really needed to know about and produces offspring that could be named after junky cereals themselves …
______________________
Escape the Imminent Collapse of Civilization, Friends, if only for a few hours. A sweeping modern fairy-tale is born with the Rowan Blaize series of books. Click on the book covers to the right or have a look below …
Watch the Rowan Blaize Book Trailer HERE.
Book One = The magical cornerstone – a lavishly illustrated epic narrative poem … a genuine “spell” for the young and young-at-heart to treasure for a lifetime, telling the story of sorcerer Rowan Blaize’s battle to regain his magic powers. (Think Beowulf-meets-Dr.Seuss or an epic story-in-verse of a scope similar to Tolkien’s soon-to-be-released The Fall of Arthur, only contemporary.)
Book Two = The rip-roaring novel that continues the adventures of Rowan Blaize and introduces the three hilarious witches of the Ancient City, along with its dysfunctional werewolves, wraiths, ghosts, vampires, dryads, banshees and a beauty pageant brat that just might destroy the world.
Book Three = The next novel that finds Rowan trapped by a spell in another world, caught between a faery-squashing sorceress who’ll stop at nothing to conquer the kingdom … and a feisty teenage prince who’s determined to get it back.
Click here to purchase the Kindle e-books and watch a video of Jonathan discussing his work.
__________________________________________
Barnes and Noble
IndieBound
Books-A-Million
Rowan Blaize Official Website
Goodreads

Leave a comment